Примеры работ
Тотальная реконструкция.
Данная работа-удачный пример того,как новая улыбка кардинально меняет облик человека. В этом клиническом случае была выполнена тотальная реконструкция зубных рядов верхней и нижней челюсти с помощью имплантатов и виниров!



Невероятное преображение
Когда впервые смотришь на эти две фотографии - ДО и ПОСЛЕ, создается впечатление, что это абсолютно разные люди.
Но, невероятное преображение пациентки и ее улыбки, является на самом деле результатом долгого и непростого лечения! Тотальное реконструктивное протезирование зубных рядов обеих челюстей. В данном клиническом случае, мы столкнулись с целым рядом проблем -стершиеся зубы, темный цвет зубов и корней, неправильное положение зубов, неправильный прикус и отсутствие многих зубов.
Результат нашего лечения - это счастливая пациентка с потрясающей улыбкой!

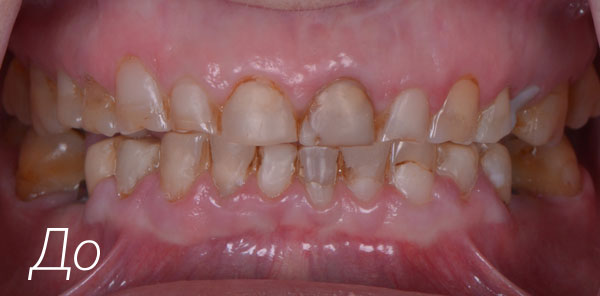
Полная реабилитация.
Пациентка пришла на консультацию, с желанием и пониманием того, что пришло время заняться здоровьем полости рта. В ходе осмотра и диагностики стало понятно, что потребуется применить весь арсенал и умение для реабилитации данной пациентки. В этом клиническом случае мы применяли современные методики по наращиванию костной ткани, имплантацию, десневую пластику, коронки на имплантатах и виниры.
Нам удалось получить отличный эстетический и функциональный результат, а качество жизни нашей пациентки значительно улучшилось!


Замена корня зуба на имплантат.
Пациентка обратилась ко мне с сильно разрушенным зубом и продольной трещиной корня.
После осмотра и диагностических мероприятий было принято решение об удалении корня и одномоментной имплантации. Корень зуба удалили, установили имплантат, провели биореконструкцию лунки зуба и подсадку десневого трансплантата. Спустя некоторое время, мы установили цельно-керамическую реставрацию на имплантат.
Благодаря квалифицированному и современному подходу, мы получили отличный эстетический и долгосрочный результат.


Как один винир полностью меняет улыбку
К нам в клинику обратилась пациентка с желанием улучшить свою улыбку.
Пациентка - молодая и красивая девушка, которая сама работает в индустрии красоты. Долгое время она не решалась на поход к стоматологу, что только усугубляло ее комплексы и скованность при улыбке. «Шиповидный зуб» - это патология, которая встречается довольно нечасто, но является эстетической проблемой. После осмотра и диагностики я принял решение изготовить керамический винир на этот «шиповидный зуб».
Результат лечения – это еще один счастливый и довольный пациент!



Цельно-керамические реставрации с опорой на имплантаты.
Молодая девушка 20-ти лет, обратилась в клинику с необходимостью удалить корни зубов, которые невозможно было сохранить из-за множества проблем.
Я провел удаление корней с одномоментной установкой имлантатов в лунки удаленных зубов. Далее, мы изготовили цельно-керамические реставрации с опорой на имплантаты.
Данный клинический случай показывает, как можно решать сложные эстетические и функциональные проблемы здоровья полости рта, используя квалифицированный и современный подход.


Лечение кариеса
В клинику обратилась девушка с жалобой на то, что еда застревает между зубами и появилась чувствительность на сладкую и холодную пищу.
В результате осмотра был выявлен кариес первого моляра под старой пломбой. Убрали старую пломбу, вычистили весь кариес, затем полость обработали кариес -маркером (специальный раствор, позволяющий обнаружить кариес невидимый глазу) и выполнили прямую реставрацию, восстановив все анатомические образования зуба.



Виниры без обточки
В нашу клинику обратился пациент с завышенными эстетическими требованиями, ему не нравились его старые композитные пломбы на двух центральных резцах, а также не нравилось неправильное положение бокового резца (зуб развернут по оси, что создает неудовлетворительную эстетику).
Я принял решение о замене старых пломб на керамические виниры и установке винира на боковой резец без обточки зуба. Обратите внимание, что мы убрали с зубов только старые композитные пломбы и все здоровые ткани зуба остались не тронутыми, и что особенно важно, к боковому резцу вообще не прикасались бором. После чего были изготовлены керамические виниры и мы благополучно их зафиксировали на зубы.
Пациент очень счастлив!



Пластика уздечки верхней губы
Короткая уздечка верхней губы - одна из самых часто встречающихся проблем в детском возрасте, это может привести к деформации верхней челюсти и зубного ряда, что в свою очередь повлечет за собой эстетические проблемы, которые впоследствии, очень сложно и долго лечить. Основное и самое распространенное заблуждение среди докторов и родителей, что уздечку достаточно просто «подрезать», что не является лечением.
Часто мне звонят родители маленьких пациентов именно с вопросом - подрезаю ли я уздечки?
Есть определенные показания для пластики уздечки верхней губы, мы проводим осмотр пациента, собираем анамнез (медицинская история жизни пациента) и принимаем решение о необходимости и выбираем методику, по которой будет производиться пластика.
Именно – пластика, а не «подрезание».



Пластика уздечки языка
Короткая уздечка языка, обычно встречается в детском возрасте и крайне редко у взрослых людей.
Чаще всего выявляют данную патологию в родильном доме, когда грудничок из-за короткой уздечки не может захватывать грудь матери и не может полноценно питаться. На данном этапе решить эту проблему проще всего, но бывает, что короткую уздечку не выявляют и ребенок растет с данной патологией, что в последствии может приводить к различным проблемам, таким как неправильное произношение звуков и развитие пародонтита в раннем возрасте. Данный клинический случай показывает, как уздечка ограничивает движение языка, а после пластики язык становится более подвижным и все физиологические функции восстанавливаются. В моей практике встречались случаи, когда детям несколько раз «подрезали» уздечку, а проблему так и не удавалось решить .
Устранить данный дефект просто «подрезанием» нельзя, необходим квалифицированный подход и грамотно проведенное лечение, в виде пластики уздечки языка.



Реставрация боковых зубов.
Очень часто слышу от пациентов такую фразу: - «Зачем менять пломбу, если она стоит?»
Пломба или любая другая реставрация должна не просто «стоять», а выполнять свою основную функцию - защищать зуб от разрушения. Данный клинический случай прекрасно демонстрирует, как две, на первый взгляд, неплохие пломбы, не вызывают никаких подозрений, но на самом деле, они давно перестали защищать зубы от разрушения. Итак, в ходе диагностических мероприятий и сбора анамнеза (медицинская история жизни), было принято решение о замене старых пломб на новые реставрации. Сняв старые пломбы, мы обнаружили кариес. Убрав кариес, мы обработали полость специальным раствором, так называемым кариес маркером, который выявляет и окрашивает кариес не видимый глазу и исключает возможность оставить кариес под будущей реставрацией.
После чего были выполнены две прямые реставрации, теперь зубы здоровы и будут функционировать много лет!



Отбеливание зубов
Отбеливание зубов – пожалуй, самая востребованная из всех косметических процедур!
Вокруг отбеливания ходит огромное количество слухов и мифов. Я попробую немного ознакомить вас с данной методикой. Отбеливание является процедурой, у которой есть определенные показания и возможности. Если мы хотим получить хороший результат, мы должны внимательно обследовать пациента на наличие коронок, виниров, пломб, кариозных и не кариозных поражений эмали и дентина, а также трещин эмали в зоне отбеливания. Обратить внимание на вредные привычки и самое важное - понять ожидание пациента от данной процедуры. Только после этого выбрать методику для отбеливания.
На самом деле, я очень люблю эту процедуру, которая помогает подчеркнуть естественную красоту зубов и сделать улыбку ярче!


Замена старых пломб на цельно-керамические реставрации.
К нам в клинику обратилась молодая девушка с желанием сделать свою улыбку лучше. Ранее, она неоднократно лечила свои передние зубы, что в свою очередь, отразилось на эстетике.
После осмотра и диагностики я принял решение сделать цельно-керамические реставрации на два центральных резца. Обратите внимание, что мы сделали некоторые художественные элементы - неравномерный прозрачный край ( мамелоны), что сразу сделало улыбку юной. Это и есть - индивидуализация и творческий подход.
Однако, я часто вижу, как разным пациентам, молодым и пожилым, мужчинам и женщинам, делают абсолютно одинаковые зубы – это в значительной мере упрощает работу техника и стоматолога в ущерб эстетике - но это не наш путь!

